Loading...

CASOS CLINICOS

MR

NEUROCISTICERCOSIS

Antecedentes e información clínica:

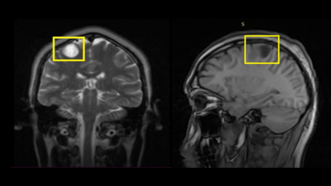
Paciente masculino de 25 años de edad que refiere episodios convulsivos desde hace cuatro días, es evaluado por el servicio de neurología y se solicita estudio de resonancia magnética, evidenciándose lo siguiente:

Rx

Hallazgos Radiológicos:

Lesión intraaxial de comportamiento quístico en todas las secuencias, ovalada, de bordes definidos, con capsula que realza tras la administración de gadolinio, mide 19 x 14.8 x 15.1 mm y pequeño foco central de mayor densidad, no genera efecto de masa, ni presenta edema perilesional, a considerar naturaleza infecciosa (neurocisticercosis).

Revisión bibliográfica:

La neurocisticercosis (NCC) es una enfermedad del sistema nervioso central de origen parasitario que genera una alta morbilidad. Es endémica en muchas regiones del mundo, principalmente en países en vías de desarrollo. Es causada por la ingestión de huevos de Taenia solium, cuya vía es fecal-oral, de una persona con teniasis a una persona sana.

En general, la NCC se presenta como formas intraparenquimales, asociadas con cuadros convulsivos, o formas extraparenquimales, estando estas últimas asociadas con hipertensión endocraneana. Los quistes intraparenquimales pasan por las siguientes fases de evolución:

  • Fase vesicular: quistes viables, provocan una respuesta inflamatoria mínima.
  • Fase coloidal: presencia de inflamación provocada por la respuesta inflamatoria celular alrededor del quiste.
  • Fase nodulo granular: sustitución gradual por tejido fibrótico y colapso progresivo de la pared del quiste.
  • Fase de calcificación: incorporacion de calcio sobre el tejido fibrótico del parásito

Si bien la información clinica y epidemiológica orientan el diagnóstico, se debe descartar cisticercosis en la mayoría de casos de crisis epilépticas, cefaleas crónicas o hipertensión endocraneana. El diagnóstico es primariamente por imagen, con la serología como herramienta confirmatoria de acuerdo al tipo de neurocisticercosis.

En la actualidad se usa la tomografía axial computarizada (TAC) y la resonancia magnética como métodos de radiodiagnóstico. La RM tiene mayor sensibilidad que la TAC, particularmente para lesiones pequeñas. Muestra imágenes mejor definidas (escólex), quistes intraventriculares en distintos planos espaciales. Sin embargo, no detecta bien las calcificaciones. Es importante enfatizar que la TAC debe ser realizada en equipos de última generación y buena calidad de imagen por que tomografias de pobre resolución dificultan el diagnóstico.

El diagnóstico inmunológico se realiza mediante la técnica de inmunoelectrotransferencia, también llamada inmunoblot o western blot, con antígenos glicoproteicos purificados.

El hemograma sirve de orientación y debe tenerse de línea de base para monitorizar potenciales alteraciones debidas a la terapia antiparasitaria o antiepiléptica, al igual que las pruebas de función hepática. Tambien puede realizarse punción lumbar aunque es importante recordar que dicho procedimiento esta contraindicado en casos de hipertensión endocraneana.

El diagnóstico diferencial depende del tipo de lesión. En las lesiones quísticas hay que pensar en un astrocitoma, hidatidosis, quiste porencefálico o más raramente metástasis quísticas. En los granulomas, el diferencial es más amplio e incluye tuberculosis, toxoplasmosis, absceso cerebral, toxocariasis y metástasis. En las calcificaciones hay que considerar toxoplasmosis o citomegalovirus.

El tratamiento involucra medidas sintomáticas (control de convulsiones o hipertensión endocraneana según sea el caso) y tratamiento antiparasitario (albendazol o praziquantel). El tratamiento antiparasitario debe hacerse bajo condiciones de hospitalización y en hospitales de tercer nivel.

Es importante para los médicos especialistas en radiodiagnóstico y médicos en general tener en cuenta esta patología, ya que debe descartarse en todos los casos de episodios convulsivos.

Bibliografía:

http://www.scielo.org.pe/pdf/rins/v27n4/a15v27n4.pdf

Enviar Comentario