Loading...
Inicio
Teleradiologia
telesoluciones
telecapacitacion
Casos Clinicos
CASOS CLINICOS
Todos
RX
CT
MR
Mx
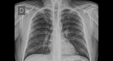
NEUMOTORAX ESPONTANEO
Rayos X
QUISTE OLEOSO
Mamografía
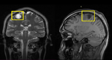
NEUROCISTICERCOSIS
Resonancia Magnética
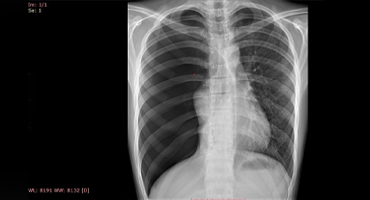
ARCO COSTAL BIFIDO
Rayos X
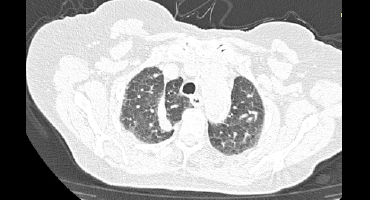
CISURA ACCESORIA DE LA VENA ACIGOS
Tomografía
Contacto
Todos los campos son requeridos
Enviar mensaje